好醫師新聞網記者王志成/台北報導
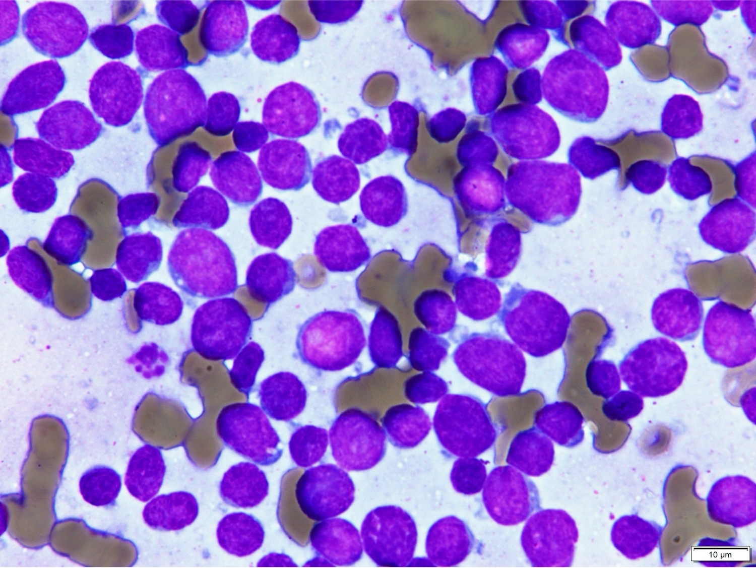
圖:芽細胞影像/中醫大兒童醫院提供
6歲的小男孩阿晨(化名),突然出現牙痛、腹痛和頭痛等不舒服,接著就高燒倦怠、虛弱到無法走路的狀況長達一週,骨髓檢查呈現芽細胞高達52% (正常<5%);白血球2800/uL(正常值:5000-14500)、血色素4.4g/dL(正常值:11.5-14.5)、血小板113000/uL(正常值:130000-400000) 均遠低於正常值。經兒童血液腫瘤科張德高主任診斷為急性淋巴性血癌,立即安排台灣兒童癌症治療研究群的標準化療方案。
在中醫大兒醫兒癌全人照護專業團隊的治療下,三年後癌細胞完全清除,後續由兒癌專家團隊持續追蹤,阿晨也恢復健康,順利回歸日常校園生活。中國醫藥大學兒童醫院兒童血液腫瘤科張德高主任提醒,年幼的孩子因不擅表達自己的身體狀況,加上照顧者對兒癌不熟悉,易錯失早期治療的機會。
中華民國兒童癌症基金會提出,當發現孩子有下列兒癌九大警徵,包括不明原因發燒持續一週以上、不明原因的疼痛、不明原因的腫塊、淋巴結腫大、生長發育發生改變、臉色蒼白、紫斑或出血傾向、神經方面的症狀以及眼球異常反射光(白色瞳孔)等九大症狀,都應儘速至醫療院所的兒童血液腫瘤科就醫。
中國醫藥大學兒童醫院兒童血腫科余登揚醫師指出,全國每年約有150-200位兒童罹患急性淋巴性血癌。雖然兒童癌症和成人癌症相比,整體存活率高出許多,但仍會遇到一些困難治療的狀況。兒童血腫科除了有傳統療法外,目前積極整合免疫治療、細胞治療、標靶治療和質子治療等四大新興療法,為兒癌病童打造個人化療程,帶來更加樂觀的治療前景。
余登揚醫師補充,免疫治療及細胞治療是利用病人自身的免疫系統來對抗癌細胞,中醫大兒醫已有多位高危險型之B細胞急性淋巴性血癌病童接受雙特異抗體(BiTE, Bispecfic T-cell engager)之免疫療法,效果顯著;數種免疫檢查點抑制劑(immune checkpoint inhibitors)可治療黑色素瘤、腦瘤等困難個案。針對頑固及復發型CD19抗原陽性之兒童B細胞急性淋巴性白血病,可選擇CAR-T細胞治療(CAR-T cell therapies),中醫大兒醫為目前台灣少數可正式提供臨床使用CAR-T細胞治療的醫院。
標靶治療則使用針對癌細胞特定分子的藥物,將治療精準定位在癌細胞上,減少對正常細胞的影響。本院精準醫學分子實驗室已可於腫瘤檢體中偵測到某些致癌基因,篩選出適合使用特定標靶藥物的兒童腦瘤及固態腫瘤個案,提供另一種有效且相對安全的治療。質子治療能提供更精確的放射劑量,減少對周圍組織的損傷及降低副作用。
